试题详情
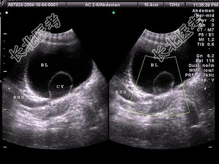
- 单项选择题女性,于膀胱输尿管位置见一囊性光团, 有规律收缩,增大。如图所示, 应要考虑为    (   )

 A、膀胱肿瘤
B、输尿管囊肿
C、输尿管肿瘤
D、膀胱异物
E、膀胱憩室
关注下方微信公众号,搜题查看答案

热门试题
- 关于胎儿头臀长(CRL)的叙述,错误的是
 - 1、首先考虑诊断是2、超声检查甲状腺的最
 - 下列位于肠系膜上静脉后及门静脉主干下的结
 - 关于肺静脉畸形引流超声特征,以下不正确的
 - 胆囊窝处探及弧形强回声带,后伴干净的宽声
 - 患者,男, 40岁,左侧耳下发现包块1个
 - 临床资料:男性患者, 66岁;自述消瘦、
 - 右下颌角下方胸锁乳突肌内侧深部,颈总动脉
 - 对子宫内膜癌手术范围选择及预后判断最重要
 - 原发性胰腺癌根据病理组织学分类最常见的是
 - 关于原发性视网膜脱离,以下哪一项是不正确
 - 主动脉压与肺动脉压的不同点是A、主动脉压
 - 以下结构不属于细胞器的是A、核糖体B、中
 - 患者,女, 45岁,发现颈部包块2个月,
 - 超声束与平整的界面保持多少度的时候,回声
 - 对于胰腺,叙述准确的是A、胰头最大,被十
 - 常常合并羊水过多的胎儿畸形,不包括以下哪
 - 超声在检查眼异物时,常用的方法有A、眼睑
 - 左房室瓣口血流频谱的影响因素包括的是A、
 - 三维超声成像的方法应除外A、三维图像重建