试题详情
- 单项选择题临床资料:男性患者, 66岁;自述消瘦、腹胀不适; 患慢性乙型肝炎20年,
化验检查: AFP明显增高。
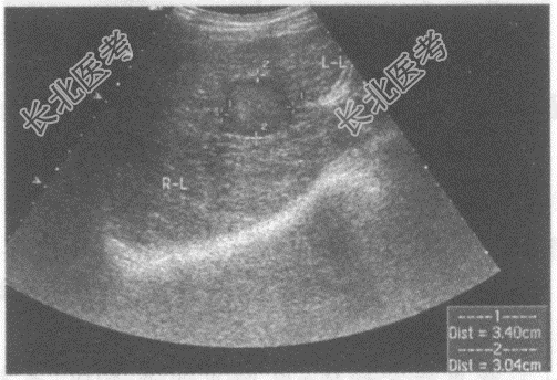
超声综合描述:肝表面不平, 肝回声不均,肝中裂增宽, 三支肝静脉变细,门静脉内径1.4cm, 左叶可见3.4cm×3.0cm中等回声区,周边有晕, CDFI:中等回声周边可见血管绕行。见下图及彩图。
超声提示: A、肝囊肿合并感染
B、肝腺瘤
C、肝硬化肝癌
D、肝血管瘤
E、肝脓肿
关注下方微信公众号,搜题查看答案

热门试题
- 下列哪项是肝内最常见的良性实性占位性病变
- 以下哪项不符合卵黄囊的特点 (
- 临床资料:男,38岁,常规体检。 超声
- 临床资料:男, 72岁,患慢性前列腺增生
- 以下有关胰腺癌的描述,错误的是A、肿块后
- 以下有助于下腔静脉观察的方法是: ①直
- 以下哪项不是子宫肌瘤彩色多普勒血流特点:
- 下列陈述右膈角哪种是不正确的:A、它在右
- 肾柱肥大常混淆为肿瘤见于 ( )
- 以下哪项可鉴别肝内胆管结石与积气:A、沿
- 不属于频谱多普勒的调节方法是A、增益B、
- 需要与视网膜母细胞瘤相鉴别的疾病有A、原
- 肾细胞癌的典型声像图特征是: ①肾内圆
- 对于左心房血栓,叙述准确的是A、心脏收缩
- 对胰腺相邻关系的描述哪项是错误的A、左肾
- 有关子宫内膜增生症,叙述正确的有A、按子
- 卵巢良性囊性畸胎瘤来源于以下哪种组织A、
- 四肢静脉脉冲多普勒频谱有几大特征,分别为
- 在组织学上骨的主要结构不包括的是A、骨膜
- 胆囊癌常伴有什么: ①结石 ②息肉样