试题详情
- 单项选择题临床资料:女, 55岁,自述腰痛1年余, 近日尿量减少。
临床物理检查:肾区叩痛。
化验检查: 尿肌酐增高,尿蛋白4+。
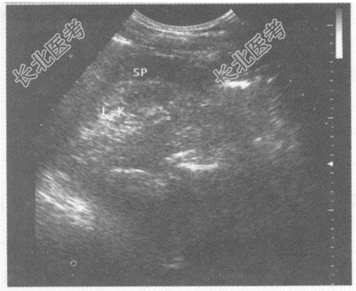
超声综合描述: 双肾表面不平,大小正常, 皮质回声增强,皮髓界限不清, 集合系统结构紊乱。
超声提示: A、双肾皮质回声增强
B、双肾萎缩
C、双肾正常声像图
D、双肾弥漫性病变
E、双肾皮质无回声
关注下方微信公众号,搜题查看答案

热门试题
- 以下哪项是识别胆囊解剖位置的最重要标志
 - 闪烁伪像的产生是因为A、彩色增益过高B、
 - 临床资料:男性患者, 73岁,自述右上腹
 - 1、临床首选的辅检查为2、根据临床表现及
 - 宽带(宽频)探头,不包括以下的A、在接收
 - 下列哪项是冠状动脉粥样硬化性心脏病(冠心
 - 关于肥厚型心肌病SAM现象的发生机理是A
 - 关于典型动脉导管未闭的血流频谱为A、舒张
 - 超声检查如图所示,该病例二尖瓣反流面积与
 - 一肝癌患者行肝动脉栓塞术后二天,左上腹疼
 - 供应脑的动脉血管,以下哪项是错误的A、椎
 - 与原发性肝癌相比较,以下哪项最有利于继发
 - 成人骨骼正常声像图上可显示什么结构
 - 关于臀大肌的叙述,正确的是A、收缩时使大
 - 正常青春期及生育期子宫宫体与宫颈之比分别
 - 患者男性,69岁, 胸闷呼吸困难,心电图
 - 以下对脾恶性淋巴瘤的描述应除外A、瘤体内
 - 临床资料:女性患者, 56岁,自述1周前
 - 葡萄胎分为几种: ①完全性葡萄胎 ②
 - 哪项是属于肺动脉高压的超声心动图表现A、