试题详情
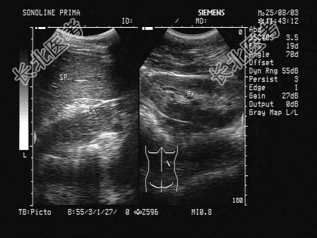
- 单项选择题如图所示,双肾结构清晰, 左肾体积小,该病例最可能诊断是   (   )

 A、肾发育不良
B、慢性肾炎
C、慢性肾衰
D、肾萎缩
E、肾脓肿
关注下方微信公众号,搜题查看答案

热门试题
- 男性患者,18岁, 瘦长体型,高度近视,
 - 胰腺假性囊肿USG表现中,哪项错误 (
 - 主动脉夹层动脉瘤的临床表现及声像图特点包
 - 该病例最可能的诊断是(   )
 - 胰岛细胞瘤好发于:A、头部B、体部C、体
 - 关于未破裂型宫外孕,其超声诊断思路, 错
 - 一患者因黄染一周就诊。超声示肝脏肿大,回
 - 观测主动脉狭窄收缩期高速射流应当采用彩色
 - 下列哪项是冠状动脉粥样硬化性心脏病(冠心
 - 孕几周前出现Ⅲ级胎盘应该考虑胎盘早熟:A
 - 患者女性,12岁, 心悸,气短, 超声心
 - 下列关于胰腺囊腺瘤的说法,错误的是A、良
 - 以下关于奇静脉的描述正确的是A、注入上腔
 - 患者,男, 70岁,临床诊断颈动脉硬化性
 - 以下哪项是正常睾丸的回声特点 (
 - 使足内翻的肌肉有A、比目鱼肌B、腓骨短肌
 - 患者感心悸、胸闷,过去无心脏病史, 最有
 - 患者女性,24岁, 呼吸困难,乏力, 上
 - 脾脏的常规检查方法中,有误的是A、仰卧位
 - 有关多胎妊娠的超声和临床表现,以下哪几项