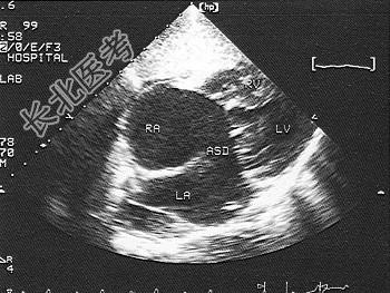
试题详情
- 单项选择题此图表明为   (   )

 A、心内膜垫缺损完全型
B、心内膜垫缺损部分型
C、二尖瓣,三尖瓣关闭不全
D、I孔型房间隔缺损
E、上腔型房间隔缺损
关注下方微信公众号,搜题查看答案

热门试题
- 诊断急性胃肠穿孔最主要的声像图特征为:A
 - 关于颈动脉瘤的描述哪项是不正确的A、二维
 - 以下哪项是子宫肌瘤常见的临床表现 (
 - 左心衰竭时发生淤血的脏器是A、脾B、脑C
 - 关于血液的声衰减程度属于A、低B、中等C
 - 胃肠检查注意事项错误的是A、检查前一晚进
 - 有一患者四腔心切面右心房、右心室内径增大
 - 通常多少个振子组成一个声通道A、2个B、
 - 一患者,超声心动图检查如图, 考虑为
 - 转移性肝癌表现为不规则强回声后伴声影,多
 - 哪项不属于早期妊娠超声检查目的A、判断有
 - 男性患者,30岁, 血压正常范围,心电图
 - 关于卵巢浆液性囊腺癌,叙述不正确的是A、
 - 有关主动脉,以下哪项错误( )A、冠
 - 冠状动脉血流量的调节因素包括的是A、血管
 - 无痛性梗阻性黄疸伴胆囊增大,可能的原因有
 - 张某,女性, 53岁,绝经后5年, 阴道
 - 房间隔缺损患者胸骨左缘第2-3肋间收缩期
 - 以下哪项是动脉硬化性闭塞表现A、老年人多
 - 恶性肿瘤扩散的机制中,以下不正确的是A、