试题详情
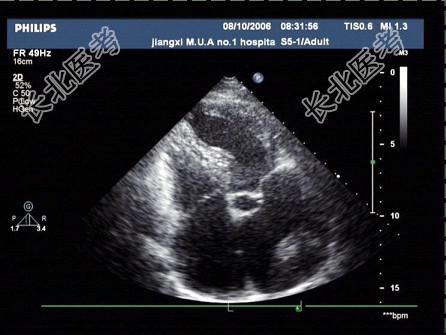
- 单项选择题一患者,超声心动图检查如图, 考虑为   (   )

 A、黏液瘤
B、左房肿瘤
C、左房血栓
D、赘生物
E、以上均不是
关注下方微信公众号,搜题查看答案

热门试题
- 中年女性,右腋下淋巴结活检为转移癌, 右
 - 如图,该病例最有可能诊断为
 - 以下对肾柱的描述,哪项是不正确的A、肾柱
 - 宽带(宽频)探头,不包括以下的A、在接收
 - 不属于制约帧频的因素是A、加用彩色多普勒
 - 胆囊壁增厚不见于以下哪种情况A、肝硬化B
 - 关于彩色多普勒成像的能量显示与速度显示的
 - 在骨软骨瘤的声像图上,于软骨帽的周围可出
 - 以下不产生图像闪烁现象的最低帧频是A、1
 - 1、对于超声心动图上诊断冠心病的主要依据
 - 移植肾发生急性排斥时最明显的征象是A、肾
 - 有关静脉瓣的描述以下哪项是错误的A、瓣膜
 - 临床资料:女性患者, 27岁,自述停经5
 - 患者,女性, 30岁。产后3个月,乏力、
 - 以下哪一项是典型胆囊结石声像图类型A、胆
 - 下列哪一项不是急性胆囊炎的并发症A、胆囊
 - 超声引导下射频消融治疗,在同一温度下:
 - 除以下哪项外均可发生急性出血性胰腺炎:A
 - 关于肛管的描述正确的是A、在齿状线下方约
 - 镶嵌征属于哪种疾病的特征性图像A、肝脓肿