试题详情
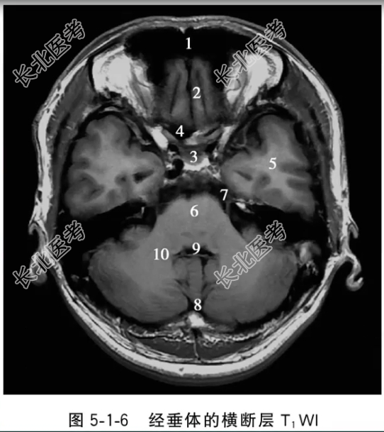
- 单项选择题经垂体的横断层T1WI中,标记为3的结构是

A、额窦
B、垂体
C、蝶窦
D、颞叶
E、脑桥
关注下方微信公众号,搜题查看答案

热门试题
- 经枢椎体上份的横断层中,咽后间隙位于哪里
- 通过体表标志,胸骨角平对哪个胸椎体下缘A
- 经甲状软骨中份和喉中间腔的横断层中,甲状
- 辐射冠是指A、半卵圆中心B、投射纤维C、
- 经喉咽和会厌的横断层中,以什么为标志A、
- 经大脑半球顶部的横断层T1WI中,下列关
- 下列关于寰椎、枢椎的描述错误的是A、寰枢
- 经垂体的横断层中,颅内血液回流的主要途径
- 在主动脉弓横断层面中,主动脉弓内侧从前向
- OM线是指A、眉毛上缘中点与外耳道的连线
- 经半卵圆中心的横断层T1WI中,标记为4
- 关于经环状软骨和声门下腔的横断层描述错误
- 位于胸骨角平面以上的结构A、气管杈B、奇
- 经肩关节下份横断层,肩关节与胸外侧壁之间
- 经腹腔干的横断层CT强化扫描图像中,标记
- 经第3骶椎横断层中,乙状结肠的移行情况是
- 寰枢正中关节构成()A、寰椎前弓和枢椎体
- 颈椎CT横断面扫描,能够显示的解剖结构包
- 关于右肾上腺描述错误的是A、外侧为肝裸区
- 臂中份横断层解剖中,哪种肌肉于该平面消失