试题详情
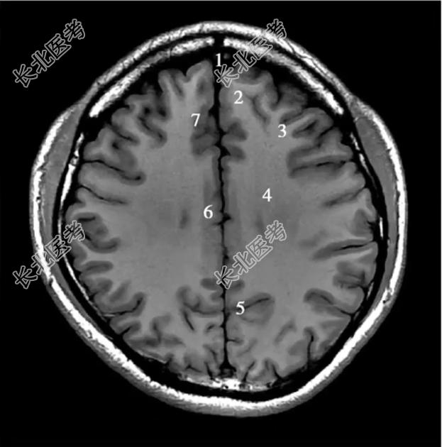
- 单项选择题经半卵圆中心的横断层T1WI中,标记为4的结构是

A、额中回
B、半卵圆中心
C、扣带回
D、额内侧回
E、顶枕沟
关注下方微信公众号,搜题查看答案

热门试题
- 1、该断层可能是经____的层面2、鞍上
- 精索首次出现的横断层面是()A、髋臼上缘
- 肩胛骨关节盂与肱骨头构成()A、肩峰B、
- 能够显示子宫腔、直肠壶腹和骶管的是()A
- 经垂体的横断层中,小脑半球内的结构是A、
- 肩关节下份横断层面中,三角肌胸大肌间沟内
- 腰骶膨大主要在哪些胸椎平面,其矢、横径分
- 肠系膜根部附着于什么结构的左侧A、十二指
- 椎前间隙是指A、枢椎体和椎前筋膜之间B、
- 连接一侧半球各皮质区的纤维是A、投射纤维
- 经耻骨联合上份横断层CT图像中,标记为1
- 经第1骶椎上份横断层中,髂窝被什么肌肉占
- 在第3胸椎体层面,胸腺和低位的甲状腺位于
- 经髋臼上缘横断层中,髋臼由哪些结构结合构
- 经前连合的横断层中,中脑水管位于什么结构
- 两侧脑室前角后半之间结构为()A、第三脑
- 肩关节下份横断层面中,肱二头肌长头腱行于
- 位于胸骨角平面以上的结构A、气管杈B、奇
- 奇静脉弓的正常解剖位置,正确的是()A、
- 经主动脉弓横断层CT图像层面,胸导管位于