试题详情
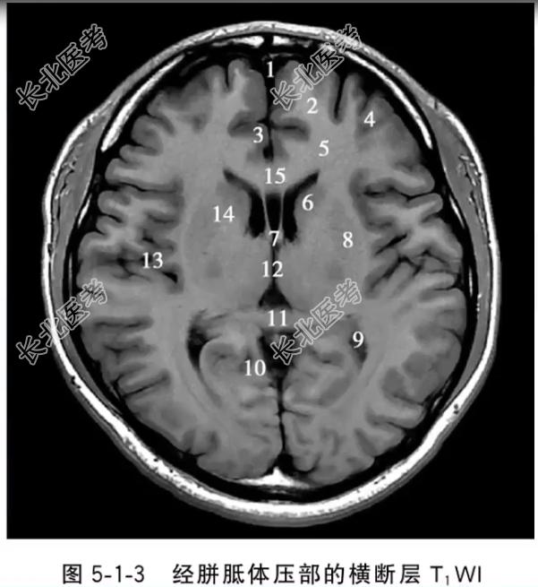
- 单项选择题经胼胝体压部的横断层T1WI中,标记为8的结构是

A、尾状核头
B、豆状核
C、侧脑室三角区和脉络从
D、扣带回峡
E、内囊前肢
关注下方微信公众号,搜题查看答案

热门试题
- 在胸膜顶层面横断层中,迷走神经在颈动脉鞘
- 1、本层面是经哪里的层面2、位于大脑纵裂
- 经第五骶椎上份的横断层CT图像所示,图注
- 第2~9对肋头依次连于哪些胸椎间盘两侧A
- 经视交叉的横断层T1WI中,标记为7的结
- 第二肝门多出现于第几胸椎体上份水平A、第
- 脊柱结核的最好发部位A、胸椎B、颈椎C、
- 1、肠系膜上静脉与脾静脉在胰颈后方合成2
- 口咽与喉咽的分界线为()A、椎前筋膜B、
- 1、该断层最可能是经____的断层2、行
- 第3胸椎体层面中,胸导管的位置是A、食管
- 肩关节上份横断层中,构成肩关节的是A、关
- CT显示跨越颅中后窝哑铃状肿块,岩骨尖部
- 经环状软骨和声门下腔的横断层中,看不到的
- 经第3骶椎横断层中,在第3骶椎前方出现的
- 代表听眶线的英文缩写是A、EMLB、OM
- 超声检查时,下列哪组血管是胰腺的定位标志
- 显示基底核区的最佳横断层面A、胼胝体干B
- 在经肾门中份的横断层中,右肋膈隐窝的状态
- 经甲状软骨中份和喉中间腔的横断层中,看不