试题详情
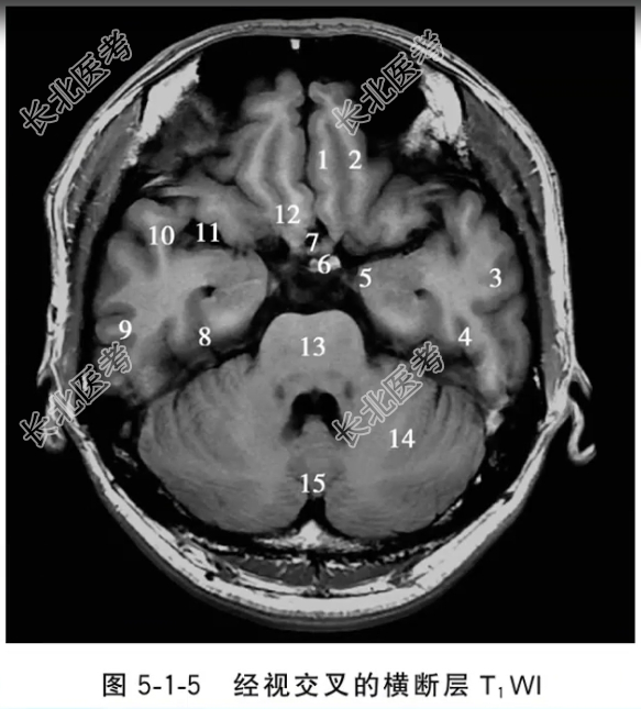
- 单项选择题经视交叉的横断层T1WI中,标记为7的结构是

A、直回
B、视交叉
C、漏斗
D、脑桥
E、外侧沟
关注下方微信公众号,搜题查看答案

热门试题
- 胸段蛛网膜下隙的矢径是多少A、10~11
- 六角形鞍上池的六角分别由下列哪些脑池构成
- 声门裂后端可见的结构是A、环状软骨弓B、
- 女性盆部正中矢状面MRT2WI图像中,标
- 经髋臼上缘横断层中,髋臼呈什么形状A、圆
- 患者,男性,50岁。贫血,消瘦2个月,超
- 肺动脉杈层面,隆嵴下间隙的后方结构是什么
- 硬膜囊内含有以下哪些结构A、终丝、马尾B
- 在经腹腔干的横断层中,腹腔干发自哪里A、
- 鞍上池后方相邻结构为()A、延髓B、第四
- 钩突位于哪两个结构之间A、肠系膜上动脉与
- 半卵圆中心的髓质不包括下列哪种纤维A、投
- 颈动脉鞘内包绕的解剖结构为A、颈总动脉、
- 关于泌尿系统影像解剖的描述,正确的是A、
- 颈总动脉一般在下列哪个平面分为颈内、外动
- 显示基底核区的最佳横断层面A、胼胝体干B
- 关于肝脏分段的标记,错误的是A、以肝静脉
- 口咽与喉咽的分界线为()A、椎前筋膜B、
- 上腹部腹腔内结构由右向左排列正确的是()
- 经第2骶椎间盘的横断面CT图像中,标记为