试题详情
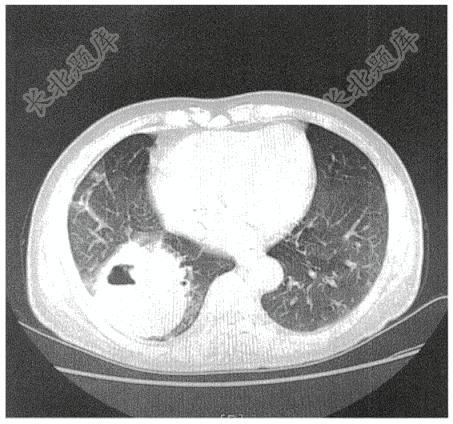
- 简答题患者女性,75岁,咳嗽、咳痰3个月,加重伴咯血2周,胸部CT如下:

关注下方微信公众号,搜题查看答案

热门试题
- 请选出正确诊断( )
- 患者男性,62岁。剧烈胸痛1.5小时。诊
- 患者男性,44岁,胸痛、发热2天入院,查
- 下列心电图检查最可能的是( )
- 请选出正确诊断( )
- 请报告箭头所指细胞的名称
- 女,35岁,时有腰部酸痛,体检超声如图,
- 请选出正确诊断( )
- 患者,男性,30岁,咳嗽2月,胸闷、胸痛
- 患者男性,64岁,突发胸痛4小时,伴出汗
- 患者,44岁,腹痛、腹胀伴呕吐,肛门停止
- 患者男性,29岁,突发胸痛1天。查胸片如
- 请选出正确诊断( )
- 请报告箭头所指细胞的名称
- 患者男,56岁。其骨髓穿刺涂片如图所示,
- 患者,男,36岁,头部外伤后1小时。请结
- 此动脉CTA中箭头所示为( )
- 男,36岁,无诱因双髋逐渐加重的疼痛6月
- 患者,男性,42岁,咳嗽、咳痰1月,胸闷
- 患者男,48岁。健康体检化验。诊断: