试题详情
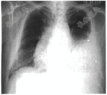
- 简答题患者,男性,30岁,咳嗽2月,胸闷、胸痛7天,请结合患者病情,读取相应影像学检查,并答出X线检查类型、投照体位、征象以及诊断

关注下方微信公众号,搜题查看答案

热门试题
- 男,23岁,摔倒后左肩疼痛,活动障碍1天
- 老年患者,因反复胸闷、气促2年,加重伴痰
- 患者男性,50岁,突发胸痛5小时就诊。查
- 下列心电图诊断最的是可能的是( )
- 患者,39岁,右腕外伤,疼痛、活动受限半
- 患者,女,60岁,间断胸闷2年
- 患者男,57岁。高血压20余年,头痛10
- 女性,52岁,有“小三阳”病史6年,呕血
- 男,45岁,高处坠落致右踝疼痛、肿胀3天
- 请选出正确诊断( )
- 患者,46岁,活动后气促30年余。
- 青年男性,23岁,因发现右阴囊肿物2年入
- 图中所示脑电图现象提示患者处于哪种状态(
- 下列心电图检查最可能的是( )
- 患者女性,60岁,主因间断心悸1周来诊,
- 下列心电图检查最可能的是( )
- 男性,61岁发热( )
- 患者男性,80岁,主因腹痛1月,加重1周
- 患者男,54岁,因胸闷、心悸就诊,根据其
- 女性,65岁。胸闷左侧呼吸音低一周(