试题详情
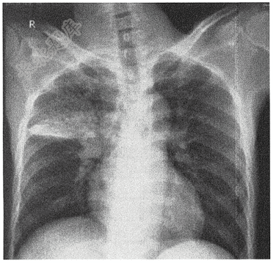
- 单项选择题男性,49岁,发热一周( )

A、右上肺炎症
B、右中肺大叶性肺炎
C、右肺中叶不张
D、右肺中叶结核
E、右肺上叶腺癌
关注下方微信公众号,搜题查看答案

热门试题
- 下列心电图诊断最可能的是( )
- 患者女性,60岁。腹痛腹胀,停止排便排气
- 患者男,46岁,因腹痛10小时急诊就诊。
- 请选出正确诊断( )
- 患者男性,64岁,发作性晕厥1周入院,查
- 男性,48岁,腹痛3天( ) <
- 患者男,48岁。健康体检化验。诊断:
- 请选出正确诊断( )
- 请选出正确诊断( )
- 患者男,30岁,因腹痛2小时急诊就诊。腹
- 下列心电图检查最可能的是( )
- 患者男性,48岁。反复呕血半年就诊。食管
- 患者男性,腹痛并皮肤黄染一周,行核磁共振
- 男性,65岁,既往有冠心病病史,ECG如
- 请选出正确诊断( )
- 男性,63岁,右上腹胀痛2年,体重减轻1
- 老年男性患者,因反复咳嗽、咳脓痰20余年
- 请选出正确诊断( )
- 请选出正确诊断( )
- 下列心电图检查最可能的是( )