试题详情
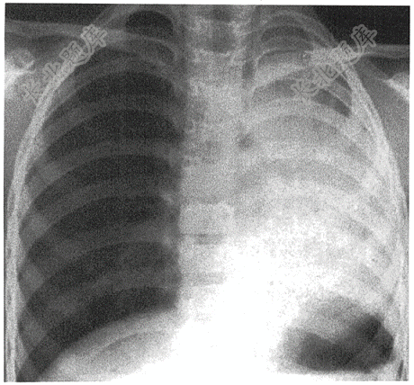
- 单项选择题女性,65岁。胸闷左侧呼吸音低一周( )

A、左侧胸腔积液
B、左全肺不张
C、左侧肺炎
D、左肺肺癌
E、左侧水肿
关注下方微信公众号,搜题查看答案

热门试题
- 男性,38岁,发热1月余( )
- 男,45岁。因“乏力2月”来院,查体:贫
- 患者男性,44岁,胸痛、发热2天入院,查
- 男,71岁。既往高血压10年,心电图如图
- 患者男性,40岁,突发左腰部疼痛伴境下血
- 图中所示脑电图现象提示患者处于哪种状态(
- 患者女性,40岁,突发心悸1小时就诊。查
- 患者女,15岁。反复意识丧失伴四肢强直1
- 患者,男,49岁,胸痛1小时
- 男性患者,因体检胸片发现右下肺病变入院,
- 患者,男性,65岁,腹胀、乏力2月,请结
- 患者男性,30岁,头部外伤后行CT检查如
- 患者男性,66岁,主因胸闷伴呼吸困难1周
- 男性,50岁。腹痛( )
- 患者女,25岁。癫痫起病,MRI如图所示
- 下列心电图检查最可能的是( )
- 患者男性,58岁。因“腹胀1月”来院就诊
- 男,45岁,高处坠落致右踝疼痛、肿胀3天
- 请选出正确诊断( )
- 患者男性,46岁,身高178cm,体重9