试题详情
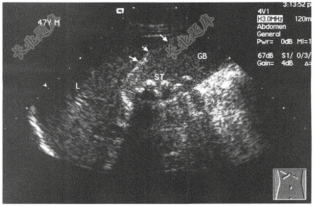
- 简答题患者,女,45岁,因腹痛就诊,行B超如下图,请进行简单描述和写出主要诊断

关注下方微信公众号,搜题查看答案

热门试题
- 男性,65岁,既往有冠心病病史,ECG如
- 男,32岁,左侧腕关节包块( )
- 选择正确诊断( )
- 请选出正确诊断( )
- 中年男性,43岁,因反复呕吐2月入院。呕
- 请选出正确诊断( )
- 患者因胸痛2小时不缓解就诊,查心电图如下
- 患者男性,46岁,反复出现排尿突然中断,
- 中年男性患者,因咳嗽、咳痰、痰中带血一周
- 患者男,31岁,因偶发心动过速来院,根据
- 青年男性,因突发胸痛3小时至急诊就诊,体
- 患者男性,49岁,长期吸烟史,咳嗽、咳痰
- 患者男,52岁。头痛伴左侧肢体力弱2小时
- 请选出正确答案( )
- 患者女,35岁。阵发性心悸3年,再发1小
- 女性,57岁,上腹部不适1月余( )
- 患者女性,60岁。腹痛腹胀,停止排便排气
- 请选出正确答案( )
- 患者女,38岁。咳嗽伴间断发热6天。诊断
- 青年男性,23岁,因发现右阴囊肿物2年入