试题详情
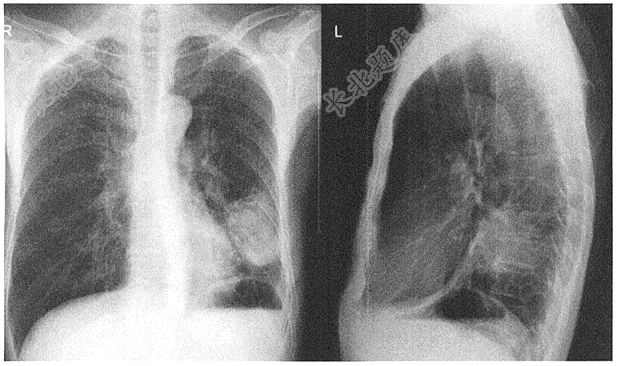
- 单项选择题中年男性患者,因咳嗽、咳痰、痰中带血一周入院,既往体健,有30余年吸烟史,吸烟≥400支/年。入院体查:左侧锁骨上可扪及肿大淋巴结,左下肺呼吸音稍低,无啰音。胸片如下图,请结合临床考虑患者最可能诊断是( )

A、浸润性肺结核
B、大叶性肺炎
C、中央型肺癌
D、周围型肺癌
E、肺真菌病
关注下方微信公众号,搜题查看答案

热门试题
- 患者女性,63岁,突发腹痛4小时入院。立
- 中年女性,42岁,因腹胀半年,加重伴进食
- 患者男性,42岁,阵发性腹痛2天,渐进性
- 男性,36岁。5个月前因“上腹痛15小时
- 女性,52岁,有“小三阳”病史6年,呕血
- 患者,男,50岁,突发心慌1小时 <
- 中年男性,53岁,既往有多年“胃病”病史
- 男,45岁,高处坠落致右踝疼痛、肿胀3天
- 患者男性,50岁,主因发憋、气短1年,加
- 中年男性,43岁,因反复呕吐2月入院。呕
- 患者,44岁,腹痛、腹胀伴呕吐,肛门停止
- 老年男性,60岁,因“排便习惯及性状改变
- 请指出下列血气分析中哪一项是Ⅱ型呼吸衰竭
- 患者女性,72岁,间歇性跛行1年余。行下
- 下列心电图诊断最可能的是( )
- 患者,女,27岁,既往体健
- 请选出正确诊断( )
- 男性患者,因运动后突发剧烈胸痛半小时入急
- 男性,32岁( )
- 男性,23岁,高热一周( ) <