试题详情
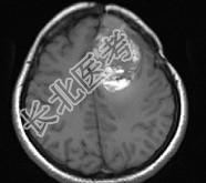
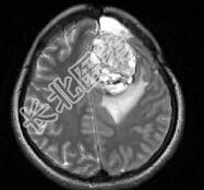
- 单项选择题女,39岁, 三年前因左额部胶质瘤手术治疗,最近出现头痛, 并抽搐大发作1次,请根据所提供图像, 选择最可能的诊断是 ( )

A、(左额叶)放射性脑炎
B、(左额叶)脑脓肿
C、(左额叶)脑出血
D、(左额叶)脑转移瘤
E、(左额叶)星形细胞瘤Ⅱ~Ⅲ级
关注下方微信公众号,搜题查看答案

热门试题
- 姑息治疗前的评估应除外( )A、患者
- 阴道不规则流血3个月,妇科检查宫颈光滑,
- 以下关于恶性黑色素瘤TNM分期原则的描述
- 与黑色素瘤发生、发展最相关的癌基因是A、
- 根治性放射治疗下咽癌的照射野 (
- 原发纵隔淋巴瘤多位于A、前上纵隔B、后上
- 1、对右下腹包块性质鉴别特异性最好的核医
- 绝经的定义包括有A、接受化学治疗的过程中
- 18F–FDG PET/CT肿瘤显像(
- 多药耐药即肿瘤细胞对一种抗癌药产生抗药性
- 现阶段儿童Wilms瘤,手术、放疗和化疗
- 男性,60岁, 进行性声嘶半年,入院行全
- 关于高能量电子束临床特点的描述不正确的是
- 以下选项中与肿瘤逃逸机制无关的是(
- 1、首选化疗方案为2、治疗原则应为3、如
- 胃的粘膜相关性非霍奇金淋巴瘤(MALT)
- 1、你认为下列哪一检查对诊断有更大的帮助
- 男,68岁, 上腹部隐痛二月余,CT检查
- 男,15岁, 进行性头痛1年余,CT检查
- 在某横断面调查中发现白血病的患病率增加,