试题详情
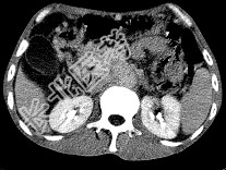
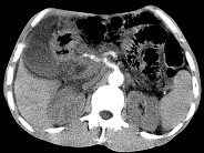
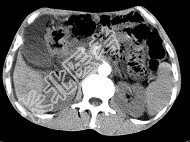
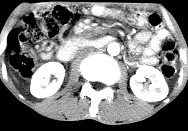
单项选择题女,50岁, 中上腹疼痛,消瘦乏力, 影像检查如下图,最佳的诊断为( )

A、胰岛素瘤

B、慢性胰腺炎

C、急性胰腺炎

D、腹膜后淋巴瘤

E、胰腺癌并腹膜后淋巴结转移

  • 关注下方微信公众号,搜题查看答案

热门试题