试题详情
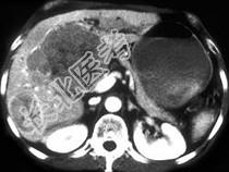
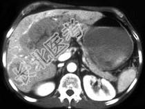
- 单项选择题女,67岁, 右上腹疼痛,消瘦四月余, CT检查如图,最可能的诊断为 ( )


A、肝囊肿
B、肝癌
C、肝脓肿
D、肝血管瘤
E、肝转移瘤
关注下方微信公众号,搜题查看答案

热门试题
- 患者女性,18岁, 右大腿下段肿痛2约余
- 关于睾丸的血液供应,叙述不正确的是A、睾
- 肺复合性小细胞癌所包含的肿瘤类型除了小细
- 1、根据以上病历资料,患者最可能的诊断是
- 大肠癌治疗中以下说法错误的是( )A、
- 关于索拉非尼的叙述,以下不正确的是(
- 成人鼻腔淋巴瘤最常见的组织类型应为A、伯
- 65岁男性患者,吸烟史30余年, 近半年
- 1、以下检查中有助于明确纵隔淋巴结是否有
- 骨骼肌肉系统恶性肿瘤最常见的转移部位为A
- 患者男性,21岁, 右股骨下端骨肿瘤,活
- 影像中肺癌易形成空洞的是( )A、腺
- 骨转移最常发生的部位为A、脊柱和骨盆B、
- 小细胞肺癌局限期不包括的病变是A、同侧膈
- 1、结合患者现病史、既往史和影像学表现,
- 喉的解剖结构叙述不恰当的是A、其上方与口
- 多形性腺瘤( )。A、过去称为“混合瘤
- 现阶段认为需要常规进行术后化疗的肿瘤是A
- 软组织肉瘤扩大切除术+放射治疗中,采用缩
- 鼻咽癌淋巴结转移的第一站是A、颈后三角淋