试题详情
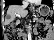
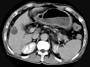
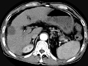
- 单项选择题男,63岁, 肝区疼痛不适1个月,皮肤巩膜无黄染, AFP高于正常,CT所见如图, 最可能的诊断为 ( )

A、胆管细胞癌
B、肝血管瘤
C、不典型肝癌
D、阿米巴肝脓肿
E、肝转移瘤
关注下方微信公众号,搜题查看答案

热门试题
- 当宫颈癌的病变局限于子宫颈,无肉眼可见病
- 现在人们认为癌症也是一种生活方式疾病,不
- 以下哪组抗体的检测在临床上用于判定乳腺癌
- 肿瘤的分期可以A、反映肿瘤的行为特征B、
- 1、进行下列哪种诊断措施最佳2、诊断后应
- 口腔黏膜癌的临床可表现是A、浸润型B、外
- 1、诊断为尤文肉瘤,主要应与以下哪一种病
- 有关超分割放射治疗的描述,不正确的是A、
- 软组织肉瘤最常见的转移方式应为A、直接侵
- 软组织肉瘤扩大切除术+放射治疗中,采用缩
- 关于卵巢肿瘤,以下何项正确 (
- 软组织肉瘤最常见的转移部位为A、肝B、骨
- 胸下段食管癌,病变长度<3cm,病
- 距肛门2cm的直肠腺癌,无明显外侵, 无
- 1、针对该患者阴茎病灶最适合的治疗是(
- 男,45岁, HBV阳性十年,胸痛1月伴
- 不同类型X线机有不同的冷却方式,下列哪种
- 1、该患者的分期A、T
- 以下病毒载体,不是基因治疗研究中最常使用
- 甲状腺乳头状腺癌的术后治疗应为A、化学治