试题详情
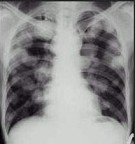
- 单项选择题男,45岁, HBV阳性十年,胸痛1月伴咳嗽, 咯血1天,胸片如图, 选择最可能的诊断是 ( )

A、HBV病毒肺部转移
B、肺多发性脓肿
C、金葡菌感染
D、肺转移癌
E、肺韦格氏肉芽肿
关注下方微信公众号,搜题查看答案

热门试题
- 早期乳癌根治术后做化疗者,术后放疗的适应
- 恶性肿瘤分级的主要依据为A、肿瘤体积的大
- 非病毒载体近年来在基因治疗中获得越来越多
- 放射治疗中应用最广的射线是A、浅层X线B
- 对肿瘤的不正确描述是A、肉瘤多发生于青年
- 现阶段认为肺癌术前了解有无纵隔淋巴结转移
- 1、首选的治疗方式为2、术后病理:子宫内
- 原发性肝癌肝外血行转移最常见的部位为A、
- 以下止痛治疗药物中,没有剂量限制的药物是
- 靶向治疗的分类应除外A、抗血管生成药物B
- 1、首选的治疗为2、拟行化学治疗,首选的
- 下列关于CIK细胞的临床应用不正确的是(
- 纤维瘤的特点为( )。A、一种低度恶性
- 在某横断面调查中发现白血病的患病率增加,
- 常用抗癌中草药白花蛇舌草属于( )A
- 垂体腺瘤X(γ)刀治疗的适应证为 (
- 局限期小细胞肺癌的标准治疗模式是( )
- 结直肠癌术前腹盆部增强CT检查的主要价值
- 1、正确的辅助治疗是2、曲妥珠单抗(赫赛
- 费城染色体(Ph chromosome)