试题详情
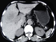
- 单项选择题女,65岁, 右季肋区疼痛二个月,CT扫描所见如图, 最可能的诊断为( )




A、胆囊癌腹膜后淋巴结转移
B、胆囊黄色肉芽肿
C、胆囊腺肌增生症
D、胆管细胞癌
E、慢性胆囊炎
关注下方微信公众号,搜题查看答案

热门试题
- 早期下咽癌一旦有颈淋巴结转移(T
- 1、为进一步明确疾病状况,应行的检查是(
- 以下不是良性肿瘤的一般特征的是A、手术后
- 1、最可能的诊断是2、为明确诊断,首选的
- 男,45岁, 右侧颌下扪及一包块约4个月
- 下述有关放射免疫显像的描述中,不正确的是
- 关于垂体瘤叙述正确的是 ( )A
- 可以用于直肠肿瘤诊断与分期的影像检查方法
- 下列淋巴结区域不是喉癌常见的淋巴结转移区
- 用治疗型肿瘤疫苗治疗肿瘤,其机制为 (
- 关于乳腺癌改良根治术,错误的是( )A
- 用于治疗不可以切除或发生转移的胃肠道间质
- 肺复合性小细胞癌所包含的肿瘤类型除了小细
- 1、该患者诊断考虑胆囊癌,根据影像学检查
- 1、中上颈部多发肿大淋巴结,病理为鳞癌,
- 对肿瘤的不正确描述是A、肉瘤多发生于青年
- 1、根据2010 7
- 鼻咽癌最主要的根治性治疗手段为A、手术B
- 胃癌术前分期较为常用的影像学检查包括(
- 结肠癌的治疗原则为( )A、Ⅳ期PS评