试题详情
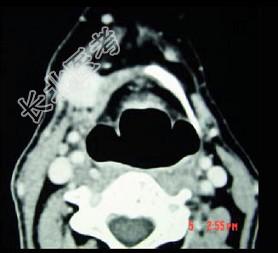
- 单项选择题男,45岁, 右侧颌下扪及一包块约4个月,无痛, PE:包块质硬, 表面欠光整,移动度较差, CT如图所示,最可能诊断为 ( )




A、颌下腺转移瘤
B、颌下腺淋巴瘤
C、颌下腺神经源性肿瘤
D、上颌腺体瘤
E、颌下腺腺癌
关注下方微信公众号,搜题查看答案

热门试题
- 关于亚临床病灶,以下哪一句话错误 (
- 1、根据以上CT获得的信息,可能的诊断包
- 女,43岁, 教师。左侧声带中1/3部位
- 早期乳癌在乳腺肿瘤切除术后做放疗者,5年
- 以下叙述中为胰腺癌的典型影像表现的是(
- 为提高基因治疗安全性,可将目的基因整合到
- 鼻咽癌治疗中加用颅底野主要用在 (
- 关于喉癌手术治疗原则,以下说法不正确的是
- 以下有关F-FDGPET在肠道肿瘤显像,
- 最常见的皮肤恶性黑色素瘤类型为A、结节型
- 女性患者,50岁, 慢性萎缩性胃炎20余
- 在G1/S转换中起关键作用的分子应为A、
- 一例病人服用吗啡缓释片时可出现嗜睡症状,
- 1、该患者目前的分期是( )2、(提
- 以下对转移的肿瘤细胞的叙述正确的是(
- 一肺低分化鳞癌根治放疗后半年,发现对侧肺
- 上颌窦癌的放射治疗,每日分次剂量较合理的
- 1、关于牙龈癌,下列说法正确的是(
- 肺小细胞未分化癌化疗后,疗效评价为CR,
- 1、为明确病变性质,下列方法中容易明确诊