试题详情
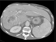
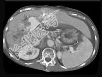
- 单项选择题男,50岁, 右上腹痛,进行性黄疸, 无腹部包块,AFP阴性, 影像检查如图,最可能的诊断为 ( )


A、肝血管瘤
B、肝腺瘤
C、肝转移瘤
D、胆管癌
E、肝细胞肝癌
关注下方微信公众号,搜题查看答案

热门试题
- 女,45岁, 右眼视力下降8个月,右颜面
- 评价宫颈癌分期最佳的影像学方法为(
- 有关纵隔神经源性肿瘤的外科治疗的陈述不正
- 1、最可能的诊断为2、最方便的进一步明确
- 下述Tc-MIBI乳腺肿瘤显像的叙述,以
- 治疗舌癌颈淋巴结转移的最佳选择是 (
- 良性肿瘤的外科治疗原则错误的是A、禁忌作
- 以下选项中,是机体抗肿瘤免疫效应主要方式
- 1、为进一步明确诊断,患者还应该的检查有
- 左锁骨上淋巴结转移性腺癌的原发部位最可能
- 以下有关F-FDGPET在肠道肿瘤显像,
- 对癌症患者实施的心理咨询治疗一般应除外(
- 1、该患者的临床分期为2、该患者适合的治
- 患者男性,67岁。因“体检发现左肺占位性
- 患者女性,72岁, 因“发现左乳肿物1个
- 常规放射治疗中,胃的耐受剂量为 (
- 国际上常用的骨骼肌肉系统肿瘤的分期方法为
- 声门型喉癌在全部喉癌中所占比例为A、20
- 已知的肿瘤转移途径主要包括A、血行转移B
- 1、首先考虑的诊断是( )2、为进一