试题详情
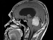
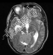
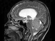
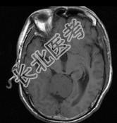
- 单项选择题男,61岁, 头晕头痛伴行走不稳1月余,请根据所提供图像, 诊断最有可能是 ( )

A、转移瘤
B、胶质瘤
C、淋巴瘤
D、髓母细胞瘤
E、(天幕切迹缘)脑膜瘤
关注下方微信公众号,搜题查看答案

热门试题
- G-CSF的适应证有哪些( )A、治
- 膀胱癌保留膀胱的手术适用于( )A、T
- 1、乳癌改良根治术+化疗后出现局部-区域
- 乳腺癌胸壁复发应怎样放射治疗 (
- 早期食管癌稀钡X线双重对比造影表现 (
- 具有外周神经毒性的药物包括( )A、
- 1、首先考虑的诊断是( )2、(提示
- 1、该患者最可能的诊断是2、该患者的最佳
- 中、晚期食管癌的病理形态最常见的为(
- 1、该患者术后病理T分期为( )2、
- 女性患者,52岁, 咯血丝痰2次,无胸痛
- NSCLC放射治疗计划的设计中的设野原则
- 1、为明确淋巴结性质,下列首选的检查是2
- 头颈部鳞状细胞癌术后同步放射化学治疗的适
- 分子靶向治疗临床试验观察指标更注重A、疗
- 鼻咽癌的颈部淋巴结转移率约为( )A、
- 在均匀介质中,随着测量点到放射源距离的增
- 周围型肺癌X线检查时最常见的影像学表现为
- 以下哪种治疗方法属传统的巴黎法腔内放射治
- 标准的超分割治疗 ( )A、每周