试题详情
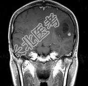
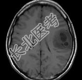
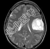
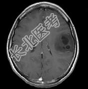
- 单项选择题女,33岁, 三个月前有右上肢及右颜面部麻木,伴耳鸣及头昏, 请根据所提供图像,诊断最有可能是 ( )

A、星形细胞瘤
B、脑血吸虫病
C、脑转移瘤
D、脑结核
E、脑脓肿
关注下方微信公众号,搜题查看答案

热门试题
- 在没有楔形板的情况下,早期声门癌放疗首选
- 1、患者的UICC分期为2、治疗原则为3
- 1、直肠癌做术前同步放化疗对手术的影响是
- 晚期恶性黑色素瘤的化疗主要用药为A、阿霉
- 下列制剂的治疗中属于主动免疫治疗的是(
- 睾丸淋巴引流的第一站( )A、腹股沟淋
- 对放射治疗不敏感的肿瘤是A、尤因肉瘤(E
- 1、进行下列哪种诊断措施最佳2、诊断后应
- 曲妥珠单抗单药治疗Her-2过表达乳腺癌
- 子宫内膜癌的术后放疗适应证哪项应除外(
- 基因治疗的效应基因选择是保证基因治疗有效
- X射线检查时,肺癌肿块周围出现毛刺样或放
- 在细胞周期中的肿瘤细胞,对放射线最敏感的
- UICC将喉癌按解剖分区划分为 (
- 下述垂体腺瘤放疗原则,哪项是正确的(
- 鼻咽癌患者出现发作性突然晕厥可能引起的原
- 胰腺癌最常浸润的部位为( )A、胆总管
- 医用加速器产生的电子束都包含有一定数量的
- 最常用18F-FDG为显影剂的检查方法是
- 在肿瘤化疗中,联合化疗方案的组成常遵循的