试题详情
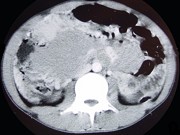
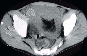
- 单项选择题男,22岁, 下腹部包块,1个月, 伴低热乏力,浅表淋巴结肿大, 影像检查如图,最可能诊断为 ( )

A、肠粘膜下出血
B、肠结核
C、肠淋巴瘤
D、肠癌
E、腹腔脓肿
关注下方微信公众号,搜题查看答案

热门试题
- 1、关于患者的手术治疗,叙述正确的有2、
- 疼痛程度数字评估法 ( )A、用
- 以下哪种方法用于测量肿瘤细胞的放射敏感性
- 早期乳癌临床腋窝无肿大淋巴结者,腋窝清扫
- 膀胱癌的临床表现包括( )A、血尿严重
- 生殖细胞肿瘤范畴包括哪项( )A、内
- 肿瘤放射敏感性取决于 ( )A、
- 女,10岁, 左大腿疼痛,夜间加重, 肿
- 胰腺癌常见的发生部位为( )A、胰头和
- 1、骨显像提示右侧肩胛骨区可见放射性浓聚
- 食管癌的扩散方式包括哪项( )A、直接
- 胸段食管癌最常累及的邻近器官是( )A
- 早期活动部舌癌可以采用多种形式的放射治疗
- 颅底深部的脑膜瘤可选择多种治疗方法,但不
- 淋巴瘤腹部影像学表现中无误的是A、淋巴瘤
- 1、结合病理诊断,还需要与下列哪种疾病相
- 当使用电子线照射需要作内遮挡时,为了降低
- 关于肾癌的叙述,以下哪些是正确的 (
- 用治疗型肿瘤疫苗治疗肿瘤,其机制是 (
- 钴60治疗机产生的放射线为 (