试题详情
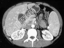
- 单项选择题女,56岁, 腹部胀痛不适、食欲减退,影像表现如下图, 最佳诊断是 ( )

A、胰腺转移癌
B、胰腺腺癌
C、胰腺假性囊肿
D、慢性胰腺炎
E、急性胰腺炎
关注下方微信公众号,搜题查看答案

热门试题
- 源皮距指的是( )A、放射源到机架旋转
- 男性患者,21岁, 左大腿下段肿痛3月,
- 1、该患者的病理分级和分期为( )A
- 为了防止随机性效应,放射工作人员受到全身
- 男,头痛7月余, 伴左侧面部麻木,疼痛剧
- 男性患者,58岁, 无痛性肉眼血尿8个月
- 以下关于舌根癌的常规放疗设计错误的是A、
- 有生物反应调节作用的中药是 (
- 以下不是早期食管癌临床表现的是A、进行性
- 哪种剂量仪的剂量响应与其受照和加热历史有
- 1、该病人原发灶需放疗剂量为A、30Gy
- 1、该患者所患黑色素瘤属于哪种病理类型(
- 食管癌用CT做治疗计划的主要目的是了解
- 以下关于肿瘤分期的重要性说法无误的是(
- 乳腺癌辅助性化疗的适应证应除哪项外A、T
- 一般认为,癌症患者诊断后的心理状态一般要
- 关于CT中肺磨玻璃密度结节的叙述正确的是
- 何谓"临终",我国大陆目前的概念是(
- 以下有关F-FDGPET在肠道肿瘤显像,
- 在电子平衡条件下,若是空气中照射量X为2