试题详情
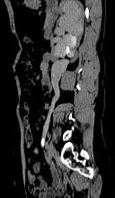
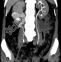
- 多项选择题患者女,44岁, 突发性胁腹部绞痛并向会阴部放射伴血尿一次。如图所示,下列说法正确的是 ( )




A、右侧肾盂肾盏扩张
B、右输尿管中上段扩张
C、右输尿管内可见沿输尿管走行的高密度影
D、右输尿管结石
E、左肾输尿管未见异常
关注下方微信公众号,搜题查看答案

热门试题
- 1、由两人同时进行心肺复苏时,推荐用口对
- 急性中毒患者处于昏迷状态下不宜采用 (
- 关于高原病的发病机制 ( )A、
- 对于MODS患者伴发DIC首选的治疗措施
- 机械通气撤离指征包括 ( )A、
- 中心静脉压正常范围为 ( )A、
- 患者为一农药灌装工,在无防护的情况下连续
- 下列哪一项不是呼吸监测的主要指征 (
- 胸外按压技术的注意事项是 ( )
- 女,24岁, 自服苯巴比妥钠100片,神
- 原发性心室颤动多于冠状动脉阻塞后什么时候
- 中度出血性休克的失血量一般为 (
- 下列哪一种药物中毒最不易引起精神障碍
- 1、最可能的诊断是 ( )2、在
- 急性有机磷杀虫药中毒治疗过程中出现“反跳
- 患者男性,18岁, 感胸闷气逼,胸片检查
- 评价对心脏急症患者治疗有效性的金标准是
- 基础生命支持流程的基本步骤正确的是 (
- 下列哪种人可进入高原地区 ( )
- 失血性休克患者经补液后血压正常,中心静脉