试题详情
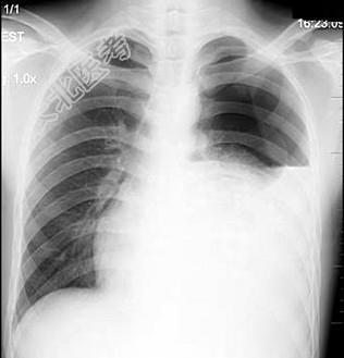
- 单项选择题患者男性,18岁, 感胸闷气逼,胸片检查见图, 最合理的诊断是 ( )

A、左侧胸膜肥厚
B、左侧胸腔积液
C、左侧液气胸
D、左侧肺不张
E、左侧气胸
关注下方微信公众号,搜题查看答案

热门试题
- CO中毒时最易受损害的脏器除外 (
- 关于休克的治疗,下列哪些说法正确 (
- 急性心肌梗死发生后溶栓治疗的最佳时机
- 患者,男,56岁。误吞鸡骨后,下咽疼痛,
- 1、晕动病的发病机制是 ( )2
- 下列哪种情况可行机械通气 ( )
- 氰化物中毒的机制不正确的是 (
- 患者,男,30岁。半小时前被热气灼伤两前
- 下列哪些人员是第3级救助人员 (
- 老年高血压患者饭后突发心前区剧痛,面色苍
- 哪一种中毒最易引起白细胞减少 (
- 急性冠状动脉综合征不包括哪些 (
- 休克时,若血压和中心静脉压均低,最首要的
- 患者女,44岁, 突发性胁腹部绞痛并向会
- 患者,女, 80岁。昏迷后,留置导尿,
- 关于吗啡类药物中毒的治疗,下列哪项不正确
- 下列哪种情况禁用硝酸酯类药物 (
- 男,32岁, 上腹部持续性疼痛,放射至胸
- 休克微循环扩张期,可发生 ( )
- 男,65岁,有高血压及糖尿病史十余年,近