试题详情
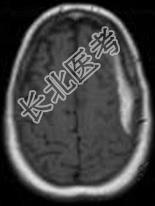
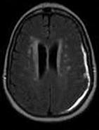
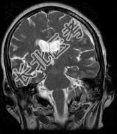
- 单项选择题女,71岁, 头晕,言语模糊, 2周前被摩托车撞伤,结合MRI图像选择最可能的诊断 ( )




A、硬膜下钙化
B、硬膜外血肿
C、急性硬膜下血肿
D、亚急性硬膜下血肿
E、慢性硬膜下血肿
关注下方微信公众号,搜题查看答案

热门试题
- 硝普钠的常用有效剂量为 ( )A
- 1、晕动病的发病机制是 ( )2
- 男,40岁, 因神志不清数小时入院,其身
- 硝酸甘油的药效作用主要取决于 (
- 患者,女, 80岁。昏迷后,留置导尿,
- 下列哪些情况下可用钙剂治疗 (
- 严重冻僵时,体温为 ( )A、&
- 患者,男, 20岁不慎跌入结冰的河水中,
- 下列可以造成心肌需氧量增加的药物应除外哪
- 严重的、无法控制的出血或心、胸、腹损伤时
- 下列不属于晕动病的临床表现的是 (
- 现场保持气道通畅的措施错误的 (
- 院前急救的三要素为 ( )A、开
- 患者,男,36岁。喷洒农药后,出现恶心、
- 下列哪项是导致肺栓塞的最常见病因 (
- 下列哪种药物中毒是血液透析的首选指征
- 导致致命性心律失常的常见基础病变是 (
- 有机磷杀虫药中毒的毒蕈碱样表现除外 (
- 下列哪些药物不能和碱性液体配伍 (
- 患者女,44岁, 突发性胁腹部绞痛并向会