试题详情
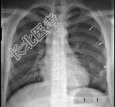
- 单项选择题18岁,男, 被人殴打后胸痛,请结合胸片选出最可能的诊断 ( )


A、血气胸
B、气胸
C、胸腔积液
D、肺气肿
E、肺挫伤
关注下方微信公众号,搜题查看答案

热门试题
- 平素体健的年轻人,进食后突然昏迷,常见的
- 1、由两人同时进行心肺复苏时,推荐用口对
- 对心室颤动患者,每延迟电击除颤1分钟,死
- 男,44岁, 突然中上腹痛,压痛, 反跳
- 哪一种食物中毒以中枢神经系统症状为主要临
- 使用硝普钠可能出现的并发症 (
- 男,76岁, 突发神志不清,伴呕吐6小时
- 胰腺癌手术分离网膜过程中,患者血压急剧下
- 患者,男, 20岁。发热、咳嗽、水肿、肺
- 男,35岁, 口服敌百虫300ml后昏迷
- 下列哪些情况应选用非同步电复律 (
- 患者,男, 20岁不慎跌入结冰的河水中,
- 患者,男,72岁。全身水肿,腹胀,拟肝硬
- 氟马西尼是下列哪一类药物中毒的特效解毒剂
- 对各种镇静催眠药均有效的治疗措施是 (
- 1、重度有机磷中毒时血中胆碱酯酶活力是
- 关于休克代偿期临床表现下列选项正确的是
- 急性有机磷杀虫药中毒治疗过程中出现“反跳
- 1、下列哪项不适宜采用 ( )2
- 患者,女, 80岁。发热,右上腹痛, T