试题详情
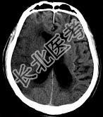
- 单项选择题女,75岁, 于昨天突发左侧肢体无力,嘴角歪斜, 言语表达不清,CT如图, 最可能的诊断是 ( )

A、右侧颞顶枕叶梗死
B、星形胶质瘤
C、脑脓肿
D、少突胶质细胞瘤
E、脑囊肿
关注下方微信公众号,搜题查看答案

热门试题
- 患者男,突发胸部疼痛, 进行性呼吸困难1
- 1、应考虑诊断为 ( )2、为确
- 患者,女, 20岁.晚餐后,在用煤气取暖
- 患者,女, 68岁、胸痛、出冷汗,神志淡
- 在医院任何地方或救护车内发生的心脏停搏,
- 误服强酸后,以下哪一项不宜采用 (
- 控制躁动可选用的药物有 ( )A
- 1、主要中毒机制为 ( )2、中
- 下列哪一种化学物质可引起瘫痪 (
- 1、测定肾小球滤过率的“金标准”是 (
- 成人杀虫剂中毒推荐使用阿托品的首次剂量是
- 死亡人数百至千人,或直接经济损失在百万元
- 男,30岁。服用名称不明的农药。查体:
- 休克晚期临床表现下列哪项是错误的 (
- 贫血最不常见于下列哪种毒物中毒 (
- 心源性休克的机制是 ( )A、心
- 误服下列哪一种药应禁忌洗胃 (
- 关于酒精中毒,下列说法不正确的是 (
- 女,32岁, 食用亚硝酸盐后呼吸困难。查
- 低血容量性休克的特点有 ( )A