试题详情
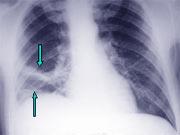
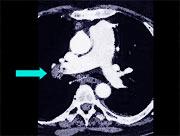
- 多项选择题患者男,突发胸部疼痛, 进行性呼吸困难1小时,行X线片检查, 提示右下肺病变,急诊CT平扫加增强, 如图所示 ( )




A、X线片示右下肺实变影
B、SCT增强扫描示右侧肺动脉主干完全性充盈缺损
C、右肺动脉开口处见不规则软组织密度影
D、考虑为右侧肺动脉(中央性)栓塞
E、考虑为右侧肺癌
关注下方微信公众号,搜题查看答案

热门试题
- 如果去甲肾上腺素发生药物渗漏,应尽快给予
- 心脏骤停后亚低温(≥32℃)治疗持续多少
- 烧伤患者急救处理 ( )A、骨折
- 有机磷中毒可损伤哪些神经 ( )
- 下列哪一项不是中毒的发生机制 (
- 人工呼吸有哪些 ( )A、口对气
- 重度出血性休克的失血量一般占总血容量的
- 下列毒蕈碱样临床表现错误的是 (
- 男性患者,22岁, 突感呼吸困难,胸片检
- 心脏性猝死的最常见病因是 ( )
- 吸入后易导致肺出血-肾炎综合征的是 (
- 多巴胺在哪个剂量范围主要起用α受体激动效
- 肾脏排水功能障碍可由以下因素所致 (
- 有机磷杀虫药中毒患者经大剂量阿托品治疗后
- 现场抗休克裤的使用,除外下列哪些 (
- 多巴胺主要起β受体激动作用时的用药剂量是
- 代偿期出血性休克的失血量一般为 ( )A
- 休克的主要诊断依据是 ( )A、
- 休克微循环扩张期,可发生 ( )
- 1、将躯体浸入水中,给予降温治疗时,下列