试题详情
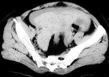
- 单项选择题女,32岁, 因停经46天,突发腹痛1天入院, 后穹隆穿刺抽出不凝血,CT检查如图所示, 下列说法错误的是 ( )




A、在左附件区可见一椭圆形略高密度病灶
B、病灶外缘较光整
C、盆腔内较高密度积液
D、此为宫外孕
E、此为卵巢巧克力囊肿
关注下方微信公众号,搜题查看答案

热门试题
- 心肺复苏时胸外按压的部位是 (
- 1、海水淹溺时,下列哪一项一般不会发生
- 氰化物中毒的机制不正确的是 (
- 中毒是指有毒化学物进入人体,达到中毒量而
- 男性,55岁, 头痛一年余,两个小时前突
- 关于酒精中毒,下列说法不正确的是 (
- 患者,男性,45岁,因创伤致呼吸心跳停止
- 关于吗啡中毒的临床表现,下列哪项不正确
- 女,26岁, 农忙时节时不慎将乐果污染了
- 冠心病患者,男, 70岁,既往行走500
- 毒蕈中毒的临床表现除外哪项 (
- 降低颅内压最迅速、最有效的方法是(
- 关于冻僵的治疗错误的是 ( )A
- 阿托品可应用于 ( )A、二度Ⅱ
- 胸外心脏按压正确的部位是 ( )
- 兼有缩扩血管活性药的是 ( )A
- 下列指标哪些不能表示左室功能状态 (
- 放置Swan-Ganz漂浮导管.要监测的
- 盐酸肾上腺素适用于心脏骤停患者,主要因为
- 关于溺水治疗错误的是 ( )A、