试题详情
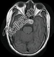
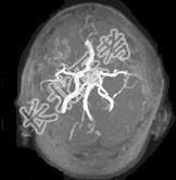
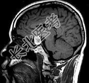
- 单项选择题男性,55岁, 头痛一年余,两个小时前突然出现剧烈头痛, MRI检查如图所示,最可能的诊断为 ( )




A、垂体瘤
B、脑膜瘤
C、颅咽管瘤
D、垂体瘤并脑卒中
E、动脉瘤
关注下方微信公众号,搜题查看答案

热门试题
- 拟交感胺类血管活性药是 ( )A
- 多巴胺轻度正性肌力作用和肾血管扩张作用时
- 一般在服毒后几小时内洗胃有效 (
- 治疗冻僵,复温速度最快的是 (
- 胰腺癌手术分离网膜过程中,患者血压急剧下
- 吸入后易导致肺出血-肾炎综合征的是 (
- 放置Swan-Ganz漂浮导管.要监测的
- 下列哪一种化学物质可引起瘫痪 (
- 经口对口人工呼吸时传播的细菌和病毒有
- 中度出血性休克的失血量一般为 (
- 有机磷杀虫药的毒性按大鼠急性经口进入人体
- 对急性冠状动脉综合征高危患者积极的药物治
- 患者,女, 58岁。因心悸伴晕厥而收入I
- 下列哪种中毒可引起瞳孔缩小 (
- 在无禁忌证的情况下,心肌梗死发生后多少小
- 患者出现下列哪种情况应立即准备行气管插管
- 急救时纳洛酮的推荐首次剂量一般是 (
- 体温每升高1℃,脑代谢率增加多少 (
- 胸外心脏按压正确的部位是 ( )
- 理化因素所致疾病的诊断原则除外 (