试题详情
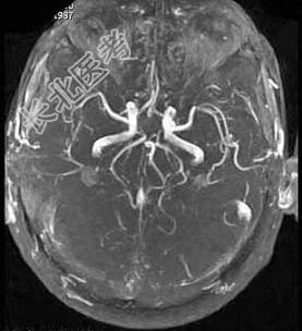
- 单项选择题男,35岁, 头痛半年加重1周,左侧肢体无力, 影像检查如图所示,最可能的诊断为

A、脑血管畸形
B、脑梗死
C、脑出血
D、脑炎
E、脑静脉性血栓
关注下方微信公众号,搜题查看答案

热门试题
- 骨关节炎的临床表现错误的是A、初期轻微钝
- 1、患儿目前的诊断是( )A、肺
- 进行体外冲击波碎石时多采用的体位是A、蹲
- 关于骨脓肿,下列哪项是不正确的A、治疗以
- 1、该患者首先考虑A、肾母细胞癌B、肾盂
- 婴儿前囟最大的时间为A、出生时B、2个月
- 烧伤后发生心功能不全时,缩血管和潴钠的因
- 1、应进行哪些检查以帮助诊断A、血常规B
- 骨盆骨折可能出现的并发症有哪些A、直肠损
- 有关大面积烧伤早期输液,哪项是不恰当的A
- 1、因颈部瘢痕畸形,患者还可能出现A、下
- 脊柱结核易发生截瘫的部位为A、胸椎B、附
- 下列哪些不是骨肉瘤的临床表现A、多见于中
- 肱骨干上1/3骨折,近端移位方向是A、向
- 有关严重烧伤患者早期喂养的概念哪一项是正
- 患者女性,66岁。左小腿静脉曲张, 内踝
- 腹股沟疝修补术,将精索移置于腹内斜肌与腹
- 下列关于骨折急救处理,正确的是A、创口包
- 慢性颅内压增高最可靠的诊断依据为A、血压
- 女性,8岁。头颈部烧伤4小时。面积6%浅