- [材料题] 男性,69岁,主诉咳嗽1个月余,皮肤巩膜黄染近1个月入院。患者1个月前无明显诱因出现间断咳嗽、无痰,于当地医院行超声检查发现胆管下段梗阻,随后出现皮肤巩膜黄染,厌食油腻,不伴瘙痒,无腹痛腹胀,无发热寒战。当地医院磁共振检查结果示:"肝内外胆管扩张,胆总管扩张,胰腺萎缩"。近1个月来体重下降4kg,小便颜色加深,大便无明显改变。否认肝炎、结核等病史,有"心肌缺血"病史30余年,阑尾切除术史5年。
- 多项选择题1.为进一步明确诊断,应补充以下哪些检查( )
A、ERCP
B、腹部增强CT
C、腹部MRI平扫+增强
D、MRCP
E、超声引导下PTCD
F、肝脏ECT核素扫描
关注下方微信公众号,搜题查看答案

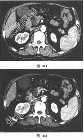
- 多项选择题2.该患者入院后查肝功能生化及肿瘤标志物:ALT143.3U/L, AST174.8U/L,Alb33.7g/L, TB81.1μmol/L,DB65.1μmol/L, ALP393.2U/L,GGT482.5U/L; CA19-9215U/ml;CEA0.6U/ml; AFP3.1ng/ml;CA125 12.3U/ml; 乙肝、丙肝、HIV、梅毒检查均阴性;影像学结果见图183~图186。该患者的临床诊断应考虑( )

A、胰头癌
B、胆管下段结石梗阻
C、胆囊颈部癌
D、急性胆囊炎
E、急性胆管炎
F、胆管下段癌
G、壶腹周围癌
关注下方微信公众号,搜题查看答案

- 多项选择题3.该患者适宜的治疗方式是( )
A、围肝门切除+胰十二指肠切除
B、胆囊切除+胆总管探查
C、保留幽门的胰十二指肠切除术
D、胰十二指肠切除术
E、胆管下段局部切除
F、胆总管切开取石+胆道镜探查
关注下方微信公众号,搜题查看答案

- 多项选择题4.该患者既往史有"心肌缺血"病史30余年。术前评估应作哪些检查和准备( )
A、心电图
B、心脏彩超
C、胸部平片
D、心脏冠状动脉CT检查
E、心脏冠状动脉造影
F、运动平板试验
关注下方微信公众号,搜题查看答案

- 多项选择题5.胸部平片未见异常;心电图检查: 窦性心律、左心室高电压、逆钟向转位、心电图不正常ST-T;心脏彩超: EF67%,FS37%, 左心室舒张功能轻度减低;冠状动脉CT示轻度粥样硬化病变, 局部管腔轻度狭窄;运动平板试验: 运动9.8MET时患者无不适,心电图无缺血变化。该患者能否考虑手术治疗( )
A、绝对手术禁忌
B、无明显手术禁忌
C、24小时动态心电图检查后再评估
D、介入冠状动脉造影检查后再评估
E、心内科保守治疗后再考虑
F、仅作超声引导下的胆管穿刺置管引流
关注下方微信公众号,搜题查看答案

- 多项选择题6.患者身高172cm,体重68kg, BMI=23.15,Alb33.7g/L, 近1个月来体重下降4kg。根据欧洲肠外肠内营养学会推荐使用的住院患者营养风险筛查(nutrition risk screening,NRS2002), 该患者的NRS2002评分值及处理为( )
A、1分,无需营养支持治疗
B、2分,不需营养支持治疗
C、3分,术前需营养支持治疗
D、4分,术前需营养支持治疗
E、5分,术前需营养支持治疗
F、6分,术前需营养支持治疗
关注下方微信公众号,搜题查看答案

- 多项选择题7.患者胰十二指肠切除术后第3~7天有间断发热,最高体温39℃; 引流液细菌培养大肠埃希菌和铜绿假单胞菌,并根据药敏试验结果换用替考拉宁、美罗培南抗感染治疗。POD4伤口有脓性渗出; POD6经胃管注入亚甲蓝引流管未见渗漏,伤口有淡黄色腹水渗出。胸部平片、CT、B超检查示胸腔积液、腹水。该患者目前临床诊断要考虑( )

A、胃瘘
B、胆漏
C、胰漏
D、腹腔内感染
E、术后肝功能不全
F、肠瘘
关注下方微信公众号,搜题查看答案

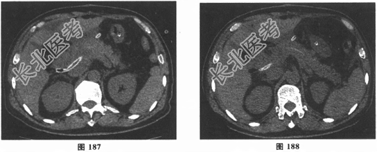
- 多项选择题8.术后第10天(POD10)患者出现腹痛伴腹胀,体温最高38.6℃, 无寒战。查体:P102次/分、R18次/分、BP111/77mmHg, 腹部稍膨隆,全腹有压痛, 轻反跳痛,移动性浊音阴性, 肠鸣音弱。复查腹部CT见图187、图188。给予胰肠后引流管负压吸引2小时,无明显液体引出, 后改为被动引流。腹痛症状逐渐缓解。术后第12天夜间出现胰肠前、脾窝引流液混有少量血性渗液,未予特殊处理后好转。第13天晨查房时发现为少量陈旧性血性渗液。请问该患者目前最应迫切采取的措施是( )

A、再次手术清除腹腔内感染及充分引流
B、超声引导下腹腔积液穿刺引流
C、腹腔内冲洗+双套管负压吸引
D、急诊查血常规
E、介入下腹腔动脉造影检查
F、急诊备血
关注下方微信公众号,搜题查看答案

- 多项选择题9.术后第13天夜间20:45分如厕时突发腹痛, 腹腔引流大量新鲜血性液,胰肠后约700ml, 胰肠前约700ml,脾窝约550ml, 患者神志淡漠,大汗, 呼之可应,即刻给予患者平卧位, 吸氧,持续心电血压监测, BP71/43mmHg,P127次/分, R20~21次/分,SPO295%。该患者目前的诊断考虑( )
A、腹腔内血管破裂大出血
B、感染性休克
C、失血性休克
D、心源性休克
E、腹腔大动脉血管瘤破裂出血
F、急性肺栓塞
关注下方微信公众号,搜题查看答案

- 多项选择题10.此时急诊处理应( )
A、急诊开腹手术止血
B、急查血常规、血生化、凝血功能
C、急备血、输血
D、急诊介入下血管造影及栓塞
E、夹闭腹腔引流管
F、快速静脉补液扩容
关注下方微信公众号,搜题查看答案

- 多项选择题11.该患者急诊腹腔动脉血管造影见下图。该患者的诊断是( )

A、肝右动脉假性动脉瘤破裂出血
B、肝固有动脉破裂出血
C、肝总动脉假性动脉瘤破裂出血
D、胃十二指肠动脉假性动脉瘤破裂出血
E、肠系膜上动脉破裂出血
F、腹腔动脉破裂出血
关注下方微信公众号,搜题查看答案

- 多项选择题12.引起该患者腹腔内大出血的相关因素有( )
A、大范围的"骨骼化"操作
B、术前营养支持不够
C、低蛋白血症
D、高龄
E、胰漏
F、胆漏
G、肝功能不全
关注下方微信公众号,搜题查看答案

- 鞍区最常见的有钙化的肿瘤是A、垂体瘤B、
- 关于乳房检查,除哪项外, 下列各项都是正
- 尿道扩张术常见的并发症A、膀胱破裂B、尿
- 水胶体敷料的优点除外A、能吸收创面渗出物
- 1、通过病史分析,可能诊断为A、慢性膀胱
- X线胸片显示肺动脉段凹陷的先天性心脏病是
- 下肢的痉挛性瘫痪可能因为A、马尾神经损伤
- 明确泌尿系感染首先取决于( )A、排
- 以下关于小儿神经精神发育,说法正确的是A
- 下列属于腓总神经损伤的临床表现的是A、马
- 疑为膀胱破裂可作哪几项检查确诊A、导尿管
- 男性,上腹部不适, 食欲不振3个月。1个
- 1、入院后应立刻进行的检查有A、心电图B
- 1、针对患者右耳疼痛,下一步的处理措施是
- 乳房囊性增生病的病理特征是A、增生只发生
- 关于正中神经返支的描述,正确的是A、绕拇
- 缓慢发生的高渗性脱水的治疗,一般应包括使
- 关于膝关节结核的临床表现,描述错误的是A
- 小儿肝脏最常见的恶性肿瘤是哪一种A、肝腺
- 患者男性,50岁。中上腹疼痛, 发热,皮