试题详情
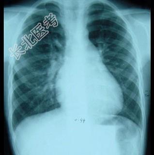
- 单项选择题男性,8岁, 生后发现心脏杂音,位于胸骨左缘第二肋间, 为Ⅲ/6级收缩期杂音,P2亢进, 心电图提示不完全性右束支传导阻滞,于前天拍摄心脏正位片, 如图所示,下面对心脏片描述正确的是 ( )

A、肺血多,主动脉结凸出
B、肺血多,肺动脉段凸出
C、肺血少,主动脉结凸出
D、肺血少,肺动脉段凸出
E、以上均错
关注下方微信公众号,搜题查看答案

热门试题
- 全部体静脉异常连接的患者应采用的手术方式
- 小儿脓胸主要病原菌A、链球菌B、沙门菌C
- 下列为肺动脉瓣狭窄的临床表现除了A、胸骨
- 1、下列检查对诊断有帮助的是(
- 1、初步诊断为A、损伤性休克、代偿期B、
- 有关先天性主动脉狭窄,以下错误的是A、多
- 关于法洛四联症的矫治术,不正确的是A、疏
- 下列情况中,适合进行单纯未闭动脉导管结扎
- 下列不是大量快速输血引起出血倾向的原因的
- 下列几种手术哪个适合予主动脉瓣病变的治疗
- 有关机械通气治疗错误的是A、机械通气是治
- 完全型心内膜垫缺损修补手术治疗,目前常用
- 常见于创伤性动脉瘤,主动脉全层破裂后被周
- 1、与该体征相关的疾病有( )2
- 体外循环下心脏直视手术所用心脏停搏液的主
- 右室流出道狭窄可导致的病理改变有(
- 心脏挫伤下列说法哪项不正确 (
- 下列哪项是慢性脓胸的可靠依据A、发热、胸
- 主动脉瓣关闭不全时主要引起A、右心室压力
- 输血传播疾病,最常见的疾病是A、疟疾B、