试题详情
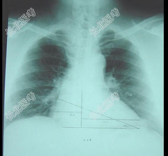
- 单项选择题此心脏正位片描述正确的是 ( )

A、“主动脉瓣型”心脏
B、“中间型”心脏
C、“横位型”心脏
D、“普大型”心脏
E、“二尖瓣型”心脏
关注下方微信公众号,搜题查看答案

热门试题
- 单纯二尖瓣狭窄早期最常见的X线改变是A、
- 永存动脉干患儿出现肺血管阻塞性病变的最早
- 1、此症的适宜手术时机是2、远期通畅率最
- 1、该患者少尿的原因最可能为A、急性肾功
- 以下哪一项不是心脏移植的禁忌证A、肝肾功
- 施行法乐氏四联症根治术需纠治下列哪一组畸
- 有关法洛四联征室间隔缺损修补下述哪项不正
- 男性,24岁, 劳累后胸闷、气急伴心悸1
- 右心室双出口中VSD的类型包括A、主动脉
- 下列哪种病变可产生左心室向心性肥厚A、二
- 有关皮样囊肿与畸胎瘤哪个叙述不正确A、都
- 对如下心脏左侧位片描述正确的是 (
- 左冠状动脉异常起源于肺动脉的患者临床表现
- 缩窄性心包炎不能出现下述哪一种体征A、脉
- 在行心脏黏液瘤摘除术时,以下哪一项是不恰
- 动脉导管结扎术易并发A、Ⅲ度房室传导阻滞
- 心脏停搏液作用的关键因素是A、低温B、高
- CoA的临床表现有A、烦躁、多汗、喂养困
- 动脉导管未闭与室间隔缺损的典型体征中最有
- 1、患儿就诊时需进行的常规检查有(