试题详情
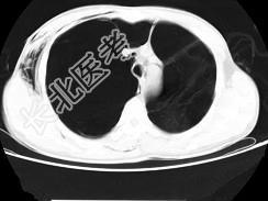
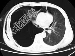
- 单项选择题男,32岁, 被车撞伤后1小时,请结合影像图像选择其最可能的诊断为 ( )




A、右侧气胸
B、右肺不张
C、右侧气胸并皮下纵隔气肿
D、右侧肺大疱并皮下纵隔气肿
E、支气管断裂
关注下方微信公众号,搜题查看答案

热门试题
- 为减少闭合性单处肋骨骨折病人的呼吸系统并
- 男,16岁,被小刀刺伤左胸部,随即昏倒,
- 食管癌切除,食管胃主动脉弓上吻合术后第6
- 男性,12岁,跌伤后发现上胸部、肩部及头
- 1、最佳治疗方案应是2、进一步明确诊断最
- 1、此患者最可能的诊断为:2、最紧急的处
- 男,50岁,嗜烟酒。近3周来出现吞咽时胸
- 有关肺癌的放射治疗,下列哪项是错误的A、
- 低钾性碱中毒时,尿液呈酸性的原因为A、尿
- 下列哪一种手术方式最好地体现了肺癌的外科
- 换气功能监测的内容不包括A、二氧化碳弥散
- 下列哪种情况不需治疗 ( )A、
- 患者女,4岁, 因纵隔肿瘤,在全麻下行开
- 食管中段,直径2cm平滑肌瘤,凸向管壁右
- 腹腔镜手术常见的并发症有A、腹腔出血B、
- 1、根据病史和临床表现首先应考虑下列哪项
- 全营养混合液不包括A、葡萄糖B、脂肪乳C
- 胸壁结核性脓肿又常称A、痛性脓肿B、皮样
- 闭合性肋骨骨折的病人,如果出现下列哪项症
- 1、正确的诊断有2、可选用的治疗方案有(