试题详情
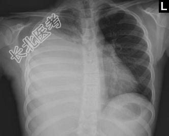
- 单项选择题下列图像最佳诊断是什么 ( )


A、脓胸
B、气胸
C、肺不张
D、肺癌
E、肺结核
关注下方微信公众号,搜题查看答案

热门试题
- 中度以上支气管扩张病人适当而有效的治疗方
- 右上叶支气管开口肺癌致右全肺不张。隆突下
- 食管癌病人出现持续性胸背痛多表示 (
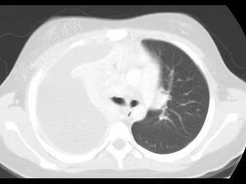
- 患者因反复咳浓臭痰2年入院,胸部CT如图
- 关于肋骨的解剖,下列哪项是正确的?
- 男性,30岁, 发现右前胸壁肿块1周入院
- 男性,78岁, 进行性吞咽困难5个月,完
- 全脓胸是指脓液积聚在下述哪个部位A、肺与
- 1、如胃镜病理已证实为食管鳞癌,最合理的
- 男性,45岁, 牧民,有吸烟及饮酒习惯2
- 1、为明确诊断,应首选下列哪项检查A、超
- 重度创伤病人死亡的常见病因是A、化脓性感
- 早、中期食管癌常用的手术方法是A、食管癌
- 下列哪项指标是行肺减容术的最佳适应证A、
- 男性,30岁,十二指肠溃疡引起黑粪,呕血
- 肺挫裂伤的相关表现有A、可合并肺撕裂伤B
- 食管癌切除,食管胃主动脉弓上吻合术后第6
- 女性,60岁, 误服烧碱后1小时,下列哪
- 男性,25岁,因前胸部疼痛2周来医院就诊
- 临床最常见的食管裂孔疝类型是A、滑动型食