试题详情
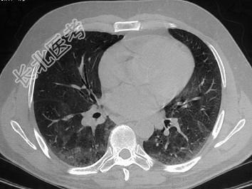
- 单项选择题患者因反复咳浓臭痰2年入院,胸部CT如图所示, 最有可能的诊断是 ( )

A、脓胸
B、肺结核
C、支气管扩张
D、肺癌
E、以上均不正确
关注下方微信公众号,搜题查看答案

热门试题
- 男性,60岁,6小时前双大腿中段被汽车撞
- 对于淋巴管瘤不正确的描述是A、起源于淋巴
- 术后1周,病人出现持续性高热, 右肋缘下
- 患儿因急性缺氧出现发绀,被送入当地医院急
- 近年来,脓胸最常见的致病菌是A、肺炎链球
- 下列有关肺癌各项辅助检查的描述,哪项是正
- 关于食管癌的淋巴转移特点,下列错误的是A
- 1、据以上病情此时应2、根据患者目前情况
- 女性,39岁, 右上肺结核球,拟行右上肺
- 慢性肠梗阻,反复呕吐所引起的缺水是A、等
- 关于胸壁反常呼吸时的局部处理,下列哪项不
- 下述哪项是张力性气胸的临床表现A、胸壁反
- 男,66岁, 胸痛一月,胸部CT如图,
- 男性,60岁,行左侧前斜角肌脂肪垫切除活
- 上腹部手术后出现顽固性呃逆,首先应考虑到
- 40岁重度吸烟者,胸部X光片正常, 三次
- 单纯冷却法进行器官保存时,可以将供肾时间
- 1、此患者可能的疾病有:2、进一步检查包
- 男性,35岁, 因锅炉爆炸时被气浪掀倒,
- 关于非特异性肋软骨炎,下列叙述正确的是哪