试题详情
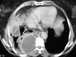
- 单项选择题男,54岁, 发热、胸痛一月余,继往有酗酒史, 请结合CT图像选择最可能的诊断 ( )


A、脓胸
B、肺脓肿
C、大叶性肺炎
D、肺囊虫病
E、肺癌
关注下方微信公众号,搜题查看答案

热门试题
- 女,68岁, 咳嗽伴胸痛胸闷一月,CT检
- 1、根据目前提供情况,下列哪些疾病需要考
- 慢性脓胸肺内无病变者,理想的治疗方法是A
- 18岁,男, 咳嗽头晕一个月,请结合胸片
- 肺脓肿多发于下列哪些类型肺癌A、鳞癌B、
- 有关挫伤的描述,错误的是A、钝物打击所致
- 关于气性坏疽的叙述错误的是A、由革兰阳性
- 下列有关食管中段憩室的描述哪项是错误的A
- 关于肺棘球蚴病的诊断依据的各项哪一项不正
- 可引起高渗性缺水的有A、静脉输入大量高渗
- 男性,25岁,因前胸部疼痛2周来医院就诊
- 男性,20岁,一阵剧烈咳嗽后突发胸闷、胸
- 对于皮肤癌描述不正确的是A、多见于白色人
- 周围型肺癌是指癌肿位于A、肺段支气管开口
- 对肺癌的基本论述中,下列不正确的是A、起
- 低镁血症补镁至症状消失后,仍需每天补镁,
- 42岁,男, 嗜烟酒,近一周咳嗽、咯血,
- 不仅能够了解支气管扩张的形态,而且能够明
- 下列有关支气管扩张症的手术范围描述哪一项
- 男,59岁, 呼吸困难,胸痛, 有发热,