试题详情
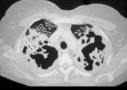
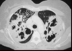
- 单项选择题一养鸽女,48岁, 发热,咳嗽, 咳脓痰带血半月余,请结合CT检查选出最可能的诊断 ( )


A、原发性肺结核
B、肺曲菌病
C、肺癌
D、间质性肺炎
E、支气管扩张
关注下方微信公众号,搜题查看答案

热门试题
- 男,54岁, 发热、胸痛一月余,继往有酗
- 有关肺癌的临床表现,下列错误的是A、无特
- 肺减容术治疗重度肺气肿的最基本的原理是A
- 鉴定Barrett食管黏膜分泌的酸性黏液
- 其中可见骨骼或牙齿阴影的纵隔肿瘤是 (
- 下列肺癌T2分期表现,哪项是错误的A、肿
- 男性,30岁,因左侧胸外伤后出现胸闷、气
- 男性,51岁, 因胸部外伤导致左侧血气胸
- 女性,35岁, 胸部外伤后,除外下列哪一
- 1、如手术治疗,宜选择何种术式2、下一步
- 男性,30岁,半小时前胸部被刺伤,伤口位
- 下列哪种辅助检查对肺部结节的定性诊断最有
- 首次发生的自发性气胸,有以下哪些情况应及
- 男,57岁, 体检时发现肺部占位,CT检
- 外科感染的特点,错误的是A、一般是指需要
- 胸外伤后,患者血压下降,脉搏细速,X线示
- 男性,40多, 胸片及CT发现纵隔肿瘤而
- 下列哪项是肠外营养最严重的并发症A、局部
- 关于脓胸,下列哪项是错误的( )A、
- 腹腔镜手术常见的并发症有A、腹腔出血B、