试题详情
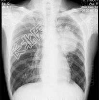
- 单项选择题女性,51岁, 胸痛数月,痰血两天, X线检查见图,最可能的诊断是 ( )


A、左肺癌
B、左侧炎性假瘤
C、左侧纵隔肿瘤
D、左肺转移瘤
E、支气管扩张
关注下方微信公众号,搜题查看答案

热门试题
- 胸部损伤后出现胸壁皮下气肿表明患者可能有
- 男性患者,78岁, 吸烟50余年,近1年
- 男,16岁,被小刀刺伤左胸部,随即昏倒,
- 多根多处肋骨骨折,胸壁包扎固定的作用为A
- 颈部和胸骨旁纵隔镜均无法取得的纵隔淋巴结
- 患者男,35岁,左小腿疼痛2天伴发热。查
- 结合肺段模式肺动脉干与右肺动脉层面(见图
- 诊断血胸最可靠的方法A、X线平片B、CT
- 患者女,体重60kg, 腹泻、呕吐,查血
- 电视胸腔镜手术时除配备胸腔镜手术设备外,
- 有关纵隔神经源性肿瘤的叙述哪项是对的?
- 肺癌最常见的类型,是A、腺癌B、未分化癌
- 男性,23岁, 左胸刀刺伤,急诊入院。体
- 关于肠内营养的描述,下列哪项不合适A、为
- 面颊部开放性损伤后12小时,局部处理宜A
- 男,68岁。因粘连性肠梗阻24小时行剖腹
- 自发性血气胸,胸腔闭式引流后有大量气体溢
- 男,32岁, 被车撞伤后1小时,请结合影
- 男,70岁, 进行性吞咽困难3个月,食管
- 关于急性脓胸的症状、体征及X线表现如图,