试题详情
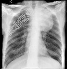
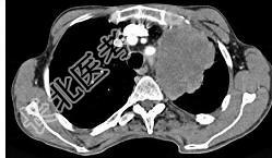
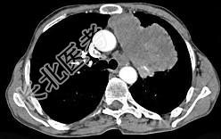
- 单项选择题56岁,男, 意识错乱情绪不稳定一周,请结合胸片和CT, 选出最可能的诊断 ( )




A、肺癌
B、错构瘤
C、胸内甲状腺肿
D、韦格肉芽肿
E、胸腺瘤
关注下方微信公众号,搜题查看答案

热门试题
- 早期食管癌的临床表现A、食管内异物感B、
- 硬膜外麻醉后一旦发生硬膜外血肿,如不及时
- 女,40岁, 近月来出现活动后逐渐加重的
- 下列哪项为外伤性血胸进行性出血的征象
- 关于肺癌的转移方式,哪项是正确的 (
- 根据神经生理学的观点,全麻药产生麻醉作用
- 1、最可能的诊断是2、有助于诊断的检查是
- 女性,32岁, 不慎跌倒后诉左侧胸痛,咳
- 肺癌的规范化治疗是指A、以手术为主,放、
- 1、经上述检查,明确诊断为右下肺叶支气管
- 1、进一步检查应首选2、术前检查发现病人
- 1、最可能的诊断是( )2、最有助于明
- 除淋巴源性肿瘤外,绝大多数纵隔肿瘤应采用
- 患者,女性, 50岁,进行性吞咽困难半年
- 慢性脓胸采用胸廓成形术,其目的是 (
- 某工地施工时不慎塌方,引起工伤事故, 对
- 1、如UCG证实延室间隔缺损存在双向分流
- 胃肠道手术应该做哪些术前准备A、手术前1
- 男,67岁, 呼吸困难半年余,请结合影像
- 女,71岁, 咳嗽,咳痰, 胸部隐痛2月