试题详情
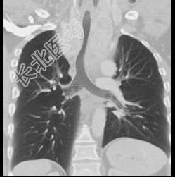
- 单项选择题男,67岁, 呼吸困难半年余,请结合影像学检查, 选出最可能的诊断 ( )


A、胸骨后甲状腺肿
B、淋巴瘤
C、间皮囊肿
D、纵隔畸胎瘤
E、胸腺瘤
关注下方微信公众号,搜题查看答案

热门试题
- 下列哪项不符合肺上沟瘤 ( )A
- 休克抑制期的病理生理改变主要是A、微动脉
- 肺脓肿多发于下列哪些类型肺癌A、鳞癌B、
- 行胸腔闭式引流术,哪项是错误的 (
- 有关支气管扩张临床表现错误的叙述是A、咯
- 下列哪项不是肺癌常见的血行转移部位A、肾
- 食管裂孔疝的临床分型不包括A、滑动型食管
- (假设信息)如果诊断明确为食管中段鳞癌,
- 食管癌主要诊断方法是( )A、气管镜
- 下列有关支气管扩张症的描述哪个是错误的A
- 患者因进行性吞咽困难就诊,食管镜检查提示
- 男,50岁, 因咳嗽,痰血1月入院。入院
- 利多卡因用于局部浸润麻醉时的常用浓度是A
- 关于漏斗胸的情况,下列哪项是正确的A、无
- 关于气性坏疽的叙述错误的是A、由革兰阳性
- 男性,20岁,右前胸被刀刺伤后出现胸闷,
- 漏斗胸所致呼吸困难的类型多为 (
- 休克患者血容量基本补足后,尿量仍少于20
- 女性,50岁, 因进行性吞咽困难2个月,
- 食管癌病人出现持续性胸背痛多表示 (