试题详情
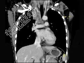
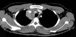
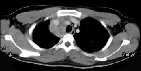
- 单项选择题男,21岁, 干咳,盗汗一月伴消瘦, CT如图,应先考虑为 ( )




A、右上肺结核并纵隔淋巴结核
B、纵隔型肺癌并纵隔淋巴结核转移
C、淋巴瘤
D、右上肺上沟瘤
E、右上肺不张
关注下方微信公众号,搜题查看答案

热门试题
- 女,64岁, 胸背疼痛一周,CT检查如图
- 中心型肺癌行全肺切除,术中、术后均应严格
- 对于皮肤癌治疗描述不正确的是A、手术疗法
- 关于胸导管,叙述错误的是A、起始于乳糜池
- 1、该患者可能的疾病为:2、若考虑肺癌进
- 硫喷妥钠静脉麻醉时较常见的并发症是A、低
- 男性,30岁,闭合性胸部外伤后出现广泛皮
- 有关挫伤的描述,错误的是A、钝物打击所致
- 禁食24小时后,体内葡萄糖来源于体内蛋白
- 高压灭菌后的物品一般可保留A、4天B、1
- 关于脓胸的感染途径,下列不正确的是A、肺
- 1、首先考虑为下列疾病:A、贲门失驰症B
- 三尖瓣Z值<-4的室间隔完整的肺动脉闭锁
- 1、最可能的诊断是 ( )2、既
- 关于肋骨骨折,下列哪项是错误的? (
- 漏斗胸心脏X线检查和心电图常有A、心脏向
- 有关纵隔神经源性肿瘤的叙述哪项是对的?
- 关于食管癌的放射治疗,哪种说法正确A、腔
- 下列哪项不是糖代谢紊乱的发生原因A、低血
- 1、为进一步诊断,首先应用进行的检查项目