试题详情
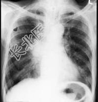
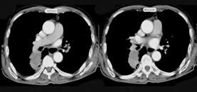
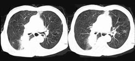
- 单项选择题72岁,男, 呼吸急促、气喘4个月,请结合胸片和CT, 选出最可能的诊断 ( )




A、肺癌
B、错构瘤
C、肺结核
D、韦格肉芽肿
E、支气管腺瘤
关注下方微信公众号,搜题查看答案

热门试题
- 男性,21岁,大叶性肺炎经治疗,体温已恢
- 下列急性肝功能衰竭的治疗措施中,正确的是
- 下列有关食管的叙述错误的是A、胃-食管吻
- 患者,男性,55岁,食管癌病人进食时呛咳
- 浅表皮样囊肿好发于A、头面及背部B、肘部
- 男性,30岁,因左侧胸外伤后出现胸闷、气
- 诊断食管癌最有价值的症状是 (
- 1、为明确诊断,首选的检查手段是2、最可
- 1、合理的治疗方法是2、应做何种检查进一
- 男,63岁, 进行性吞咽困难3个月,近1
- 患者因咳嗽、胸痛、乏力入院,体检时发现左
- 下列哪项不是抗反流手术失败的原因A、儿童
- 肺癌手术的禁忌证是A、上腔静脉综合征B、
- 输血发生超敏反应,患者出现过敏性休克,血
- 男,76岁, 气喘数年,胸痛一月余, 结
- 有关肺癌的放射治疗,下列哪项是错误的A、
- 行胸腔闭式引流术,哪项是错误的 (
- 慢性脓胸病人常出现( )A、限制性呼
- 男性,29岁, 胸部外伤后,出现下列征象
- 属于食管癌手术禁忌证的是A、严重吞咽困难